
When it comes to achieving a confident and radiant smile, dental bonding stands as a remarkable yet often underestimated cosmetic dental procedure. Amidst the plethora of available options, dental bonding offers a unique set of advantages that can be enlightening for those seeking effective and budget-friendly solutions. In this article, we delve into five little-known facts about dental bonding that shed light on its versatility, stain resistance, cost-effectiveness compared to veneers, non-invasive nature, and maintenance.
Dental Bonding’s Remarkable Versatility
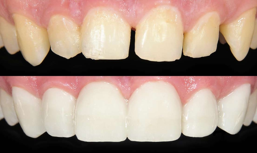
Dental bonding is a cosmetic procedure that involves applying a tooth-colored resin to teeth, effectively masking imperfections and enhancing aesthetics. What many may not realize is the extensive versatility dental bonding offers. It is an ideal solution for a range of cosmetic dental issues, including chipped teeth, gaps, and discoloration. Whether you’re aiming to correct minor flaws or transform your smile, a skilled cosmetic dentist in Mount Lebanon can skillfully use dental bonding to achieve impressive results.
Stain Resistance: A Hidden Gem
One of dental bonding’s lesser-known qualities is its remarkable stain resistance. Unlike natural teeth or other dental restorations, bonded teeth are less susceptible to staining caused by beverages like coffee, tea, or red wine. This makes dental bonding an appealing choice for individuals concerned about maintaining the long-term aesthetics of their smiles. Consult your Mount Lebanon dentist to explore how dental bonding can help you maintain a bright smile even in the face of common staining agents.
A Cost-Effective Alternative to Veneers
While veneers have gained popularity for their transformative effects, dental bonding stands out as a cost-effective alternative. Veneers involve the creation and placement of custom porcelain shells, which can be more expensive. Dental bonding, on the other hand, offers similar cosmetic enhancements at a fraction of the cost. If you’re looking to enhance your smile without straining your budget, consider discussing dental bonding options with a cosmetic dentist in Mount Lebanon. This choice offers both affordability and impressive results.
A Non-Invasive Procedure with Quick Results
Dental procedures can sometimes be intimidating, but dental bonding offers a non-invasive and comfortable experience. The process involves minimal enamel removal, making it less invasive compared to procedures like veneers. A skilled dentist in Mount Lebanon will prepare the tooth surface, apply the resin, and shape it meticulously. This single-visit procedure delivers swift results, requiring minimal downtime and allowing you to showcase your enhanced smile without delay.
Maintenance and Longevity
Maintaining bonded teeth is relatively simple. Practicing good oral hygiene, such as regular brushing and flossing, combined with routine dental check-ups, will help prolong the life of your dental bonding. With proper care, bonded teeth can last for several years. In the event of minor chips or wear, your dentist can easily repair and touch up the bonded areas, ensuring your smile remains stunning and flawless.
As you consider your options for achieving your dream smile, remember the hidden advantages of dental bonding. Its versatility, stain resistance, cost-effectiveness compared to veneers, non-invasive nature, and easy maintenance make it a compelling choice. Consult a skilled dentist to discuss how dental bonding can address your unique dental needs and provide you with the confident and captivating smile you’ve always wanted. Dental bonding is more than a procedure; it’s a pathway to a brighter, more confident you.